お子様から、ご高齢の方まで、お口のことはお任せください。
一般歯科・小児歯科
検診からクリーニング、虫歯の治療や歯周病治療など、
歯科医院に通院した際に受ける治療の大半を一般歯科といいます。
当院では、コミュニケーションを大切にし、
みなさまへ満足のいく治療を提供出来るよう努力しております。
お子様から、ご高齢の方まで安心して来院頂けるよう心掛けております。
お口のことは「さくら歯科クリニック」へ、お気軽にお越し下さい。
在宅訪問診療
当院も開院20年を経過し、患者様の高齢化も進んでまいりました。
平成24年4月の保険改定により、在宅訪問診療の適用基準が拡大され、
より利用しやすくなりました。
ご自宅に通院困難な方がいらっしゃる場合には、院長がお伺いいたしますので、お気軽にご相談下さい。
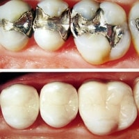
天然歯に近い素材を使い、審美性を追求した治療方法です。
各種セラミックス
オールセラミックとは、金属を全く使わずに、セラミックのみを使用した歯で、
限りなく天然歯に近く、審美性を得られます。
金属アレルギーの方にも安心して使うことが出来る人工歯です。
インレー&クラウン
インレーとは、詰め物のことをいいます。
クラウンとは、被せ物のことをいいます。
昔は、銀歯、金歯でしたが、現在は様々な材質のものが用意されております。
特に下の歯は、白い歯にすることにより、大きく口を開けて笑う事が出来ます。
ただの治療だけではなく、審美性も得られる治療方法です。
レジン
レジンとは、プラスチック素材の詰め物をいいます。
新しくできた虫歯の治療や、すでに詰めてある物の変色、金属を入れたくない、前歯が欠けた、すき間を埋めたい、金属アレルギー等にも対応できます。
こちらも審美性が得られる、おすすめの治療方法です。
「うん!いい感じ!」という言葉をいただける義歯を製作いたします。
失ってしまった歯を補うための義歯(入れ歯)。
これは繊細な制作物で、調整にも神経を使います。
義歯で快適な生活を送れるはずが、ピタリとはまらない義歯はかえって苦痛。
義歯製作における重要事項は、患者様の「満足度」です。
「うん!いい感じ!」というお言葉をいただけるまで、
お付き合いさせていただきます。
保険対応の義歯から、特殊な保険外義歯まで幅広く対応しております。
まずはお気軽にご相談下さい。
失ってしまった歯の部分へ天然歯のような見栄えと機能を!
当院で一番得意としている分野がインプラントです。
実績数も数百本積み重ねております。
インプラントとは、顎の骨に人工歯根となる金属を埋め込み、
その金属を土台にして、天然歯同様の人工歯を取り付ける治療方法です。
埋め込む金属に生体との親和性が高いチタンが使われる事が多く、
チタンは長年の臨床研究でインプラントの素材として最も安全であり、
また顎の骨としっかり結合することが確認されています。
天然歯のような見栄えだけでなく、これまでの入れ歯やブリッジでは
満足することが難しかった、「食べる・話す」という機能も回復できます。
インプラントは周りの歯を傷つけず、残った歯への影響が少ないため、
自分の歯を多く残せます。
また顎の骨がやせるのを防げる効果もあります。
食べ物のカスが挟まったり、留め金が見えるといったこともないので、衛生面や見た目からも、天然歯と同じようにきれいで美しい状態を保てます。
インプラント1本: 24万円
当院にて採用している「ノーベルバイオケア」詳細はこちらからどうぞ。
また、より確実性を増すために「ガイドシステム」も採用しております。
当院にて採用している「ノーベルガイド」詳細はこちらからどうぞ。
インプラント専用オペ室を完備
綺麗な歯は、清潔感があり、若々しく好印象を与えます!
医院にて歯の美白薬品を使い、光を照射したり、
マウスピースを使い、歯を薬品で浸して美白くするのがホワイトニングです。
医院にて行うホワイトニングの方が短期間で効果が出ますが、
ご自宅にて、お好きな時間に行っていただく事も可能です。
美白剤の主成分は過酸化水素で、消毒薬のオキシドールとして知られています。
欧米では、すでに100万人以上の方がこの技術で歯を美白しています。
喫煙や、コーヒー・紅茶の飲用などによる歯の変色、
老化や遺伝による黄ばみにも優れた効果があります。
医院にて施術するホワイトニングを「オフィスホワイトニング」といいます。
当院では「ビヨンド」によるオフィスホワイトニングを提供しております。
オフィスホワイトニング: 1万円
当院にて採用している「ビヨンドシステム」詳細はこちらからどうぞ。
ご自宅にて行うホワイトニングを「ホームホワイトニング」といいます。
当院では「Tion」によるホームホワイトニングを提供しております。
当院にて採用している「TiONホワイトニング」詳細はこちらからどうぞ。







